
虫歯が再発すると削る箇所が多くなってしまい、次第に天然の歯は脆くなって、最終的には抜歯になる危険性があります。
当院は、患者さまの大切な歯を長持ちさせるために、症状の再発防止に力を入れてきました。
詰め物と歯の『適合・接着』がしっかりしてないと、それが細菌感染からの再発・再治療に繋がってきますのでそこを非常に重要視しています。
特に接着に関しては、歯や詰め物の洗浄・乾燥をしっかりおこない。さらに接着しやすくなるような表面にする薬剤などもいろいろ使用していきます。ステップ数は多くはなるものの、手間をかけて治療することにより、詰め物や被せ物治療の再発・再治療を防いでいきます。
また、マイクロスコープで歯の神経の治療や歯周病治療を徹底して行ったあとで詰め物や被せ物の作製に取り組むこと、それが美しく健康な歯を維持することにも繋がります。
当院のセラミック治療は美しさだけでなく、再発リスク減らし長く使える健康的な歯を目指して治療しております。
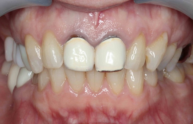
セラミック治療は、虫歯を治療した部分の被せ物や詰め物にセラミックを使用した治療法で、今までの銀歯などによる治療に比べると、美しいばかりでなく治療した歯が長持ちするようになりました。
白さはもちろん、透明感や艶という点でも、限りなく天然歯に近い審美性を再現でき、神経を除去して変色してしまった場合や、ホワイトニングで思ったような白さが得られなかった場合も、セラミックの被せ物であれば、理想的な歯の白さを取り戻すことができます。また、セラミックは審美性に優れているだけでなく、長期に使用しても金属のような変形が起こりません。そのため、経年劣化による隙間や段差も生じにくく、二次虫歯が起こりにくいです。何度も虫歯治療を繰り返すと、それだけ歯の寿命も短くなってしまいます。削った歯を長く残すという意味でも、セラミック治療は有効的な治療のひとつです。
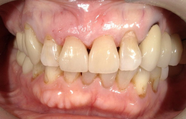
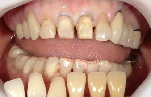
Before
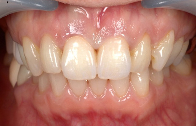
After
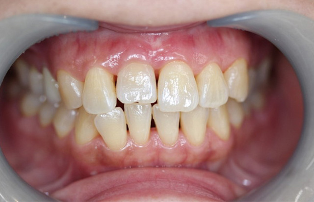
Before
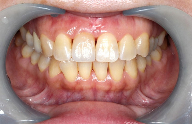
After
Before
After

当院はマイクロスコープと拡大鏡をご用意して、治療の段階ごとに使い分けるようにしました。
例えば、歯の神経の治療時はマイクロスコープを用いています。肉眼の約30倍まで患部を拡大して見ることができるので、細菌の取り残しを防ぎ、再発のリスクを抑えることにつながります。
その後の詰め物や被せ物の治療をする際には、マイクロスコープで細部まで確認し、適合のチェックをおこなっていきます。
虫歯の再発を防ぐために、歯との間に隙間を作らないよう、妥協せずに治療を行っております。